

最近遇到一位患者,在別的診所作了兩顆全瓷冠後,牙齒變的像琴鍵一樣,黑白相間,假牙跟原本的真牙顏色落差很大,一問之下才知道因為患者覺得門牙要白一點才好看,所以就要求醫師作成了左圖的樣子. 這下子,白一點變得差很大! 患者變得更不敢笑了,通常這種情形,我會建議作居家美白,慢慢控制真牙變白的程度,這樣真假牙間的顏色會比較容易協調. 但患者怕酸又希望一勞永逸,所以否決了美白的建議,希望用貼片把顏色,形狀都一起調整好!老實說,這是個嚴苛的考驗,因為貼片與假牙的結構不同,要表現出同樣的色澤跟層次,跟技師的溝通變得很重要...以下是這位病人的辛酸史
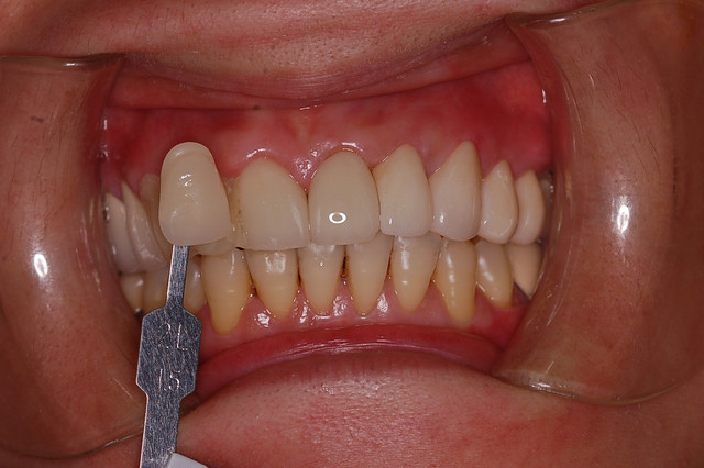
第一次試戴,貼片的亮度太高了,原本較白的正中門牙全瓷冠反而顯得暗沉

第二次試戴,重染色後的貼片,色差的問題有改善,但還有改善的空間
第三次試戴,頰側再染了一些飽和度較高的顏色
黏結完成!
前後笑容比對 
文章標籤
全站熱搜
留言列表