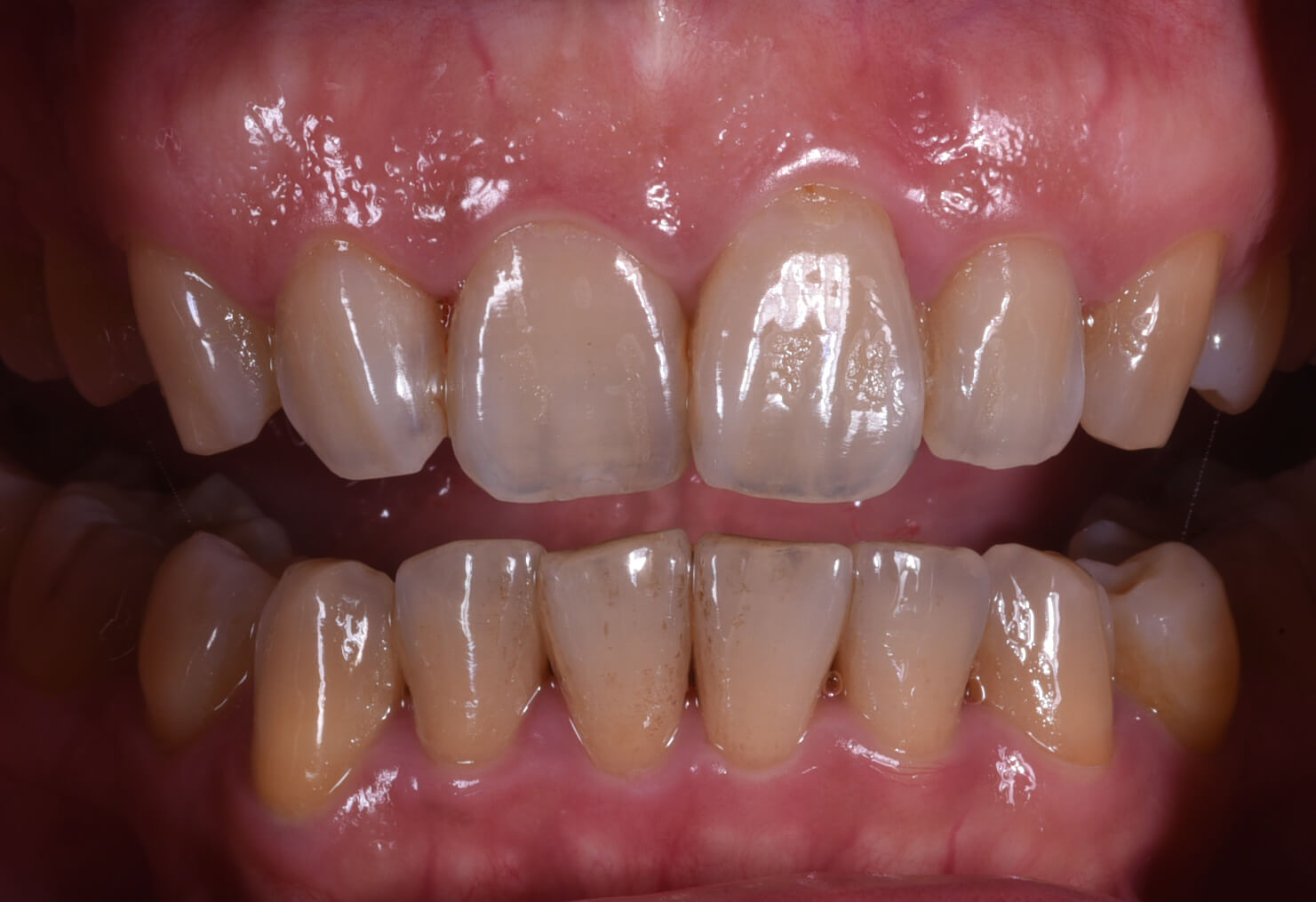
Yuchi 原本有牙齒排列不整齊與齒色偏黃的問題

 

冷光美白或居家美白並無法有效改善這麼黃的顏色,同時會有容易回色的困擾

 

上下總共製作了14顆陶瓷貼片,使用Emax B1 LT瓷塊,利用貼片保留齒質的特性減少磨牙的量,在最小的傷害下,達到牙齒美白與門牙快速矯正的目的

 

術後笑容

  

前後笑容比較

 

 

   


如果覺得文章有幫助,請為我們按讚打氣吧!

文章標籤
全站熱搜
創作者介紹
創作者 茉莉牙醫 的頭像
茉莉牙醫

茉莉牙醫

茉莉牙醫 發表在 痞客邦 留言(0) 人氣(691)