也許你在FB或網路上會看到標榜著不磨牙/不打麻藥/完全無痛/一天就可以永久美白牙齒的齒雕廣告,廣告內容和價格通常很令人心動,但施作者一般都不是牙醫師而是醫美診所甚至美甲/婕師.到底這些韓國水晶牙雕,美白齒雕與牙醫診所的陶瓷貼片有什麼不同呢?其實美白齒雕就是樹脂貼片,用的材料是一般補牙常用的奈米樹脂,藉著在牙齒上蓋上一層白色的樹脂,達到牙齒變白的效果,這樣的方法與技術在國外已經行之有年.良好的樹脂貼片可以呈現很美觀的效果,但如果操作者不是牙醫師,通常結果都是負面的.
為什麼不建議在醫美診所接受這樣的療程?醫美診所的醫師或美甲師,並沒有受過正規的牙醫師訓練,所以通常作出來的成品非常粗糙,複合樹脂是一種非常難以操作的材料,只要過程有問題,不到幾個月樹脂便會染色脫落,甚至於導致牙齦發炎或牙周病.
感染控制問題 口腔是一個非常容易交叉感染的環境,使用過的器械有沒有消毒,消毒的方式是否徹底,只要一個環節沒有做好,患者就暴露在感染的風險下
不可逆的療程 儘管標榜不磨牙,但只要樹脂黏上牙齒表面,之後要清除就一定會在牙齒上留下痕跡,刮痕與殘留都難以避免,並非如業者所說完全可以還原.通常這樣的療程只是求白,但容易顯得死白沒有層次,如果用在已經微暴牙的患者,樹脂的厚度加上白色放大效果,牙齒只會顯得更暴.
案例分享
這位患者在醫美診所做了全口美白齒雕.不到一個月,牙齦紅腫,牙縫也全部被連在一起,無法用牙線清潔.

牙齒的顏色死白,型態也不自然

將齒雕清除過後,可以看到牙齒表面依然有白色樹脂的痕跡

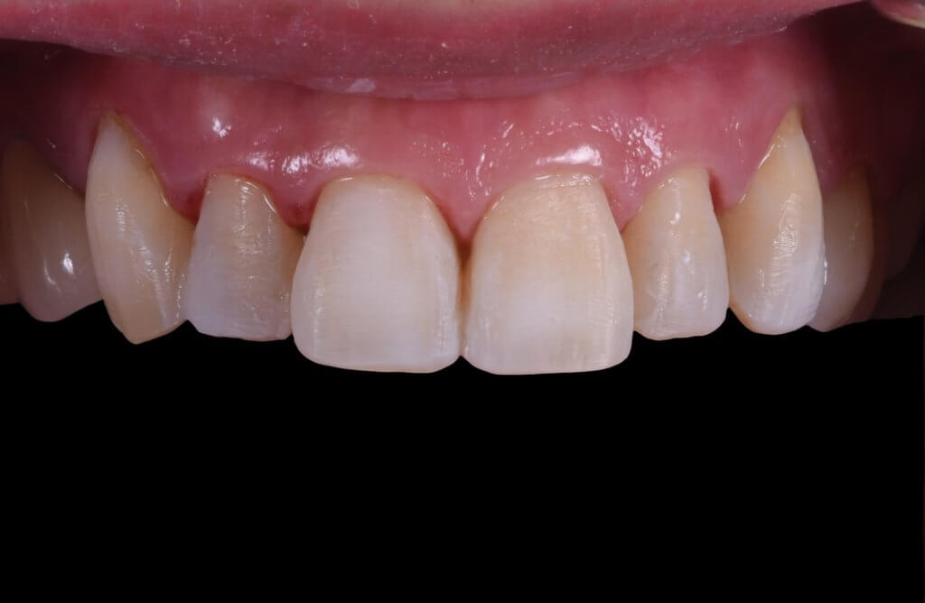
裝上七顆陶瓷貼片,兩個月後回診.可以發現貼上密合度極佳的陶瓷貼片.牙齦自然變得健康不紅腫.

前後笑容對照

如果覺得文章有幫助,請為我們按讚打氣吧!
文章標籤
全站熱搜
