
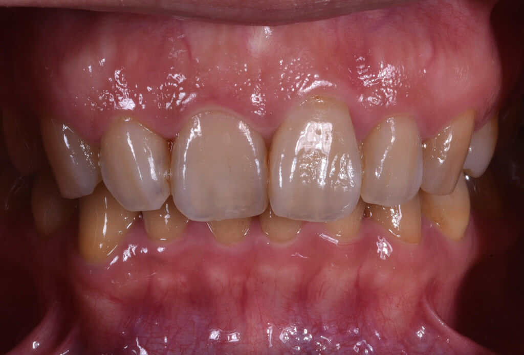
牙齒抽過神經後,可能因為根管裡填補的材料,而有變黑變暗的問題.造成的原因分為兩類,根管的封填劑sealer含有金屬成分會引起牙根變色,另外則是牙齒失去活性造成,通常變黑的程度會隨著時間而加重,如果這種情況發生在前牙,那就很有礙觀瞻了,目前牙科解決變色的方法有兩種:
1. 根管漂白:將漂白劑放在神經腔裡,約一兩週後會看到效果。優點是不需要磨牙齒,可以完整保留原來的齒質,缺點是藥劑如果滲出可能會引起牙根吸收,如果對於牙齒外型不滿意的話,無法更改.
茉莉牙醫 發表在 痞客邦 留言(3) 人氣(57,514)
大部份的牙齒在經過抽神經後都需要做個牙套保護起來,詳情請見
抽過神經牙齒需要做假牙嗎?一文,但在做假牙的過程中,常被要求要裝釘子,而且需要修掉更多好的齒質,同時假牙的金屬內裡,也會影響牙齒的美觀。下圖為假牙修型完成的小臼齒
茉莉牙醫 發表在 痞客邦 留言(11) 人氣(42,954)
什麼是人工植牙?
人工植牙是現代牙科醫師治療缺失牙齒的主要方式,不僅可以避免固定牙橋治療中磨除鄰牙的風險,也讓活動假牙的配戴者有更好的咬力與假牙穩定度,甚至能直接更換成固定假牙。
茉莉牙醫 發表在 痞客邦 留言(0) 人氣(241)
矯正中常會遇到需要拔牙的情況,拔牙通常是為了創造空間來收斂暴牙,或是讓壅擠的牙齒排齊.所以拔不拔牙的選擇,在於我們是否可以創造出空間來達到矯正的目地.常有患者覺得只要做隱形矯正就可以不用拔牙,這個觀念只對了一半,由於隱形矯正多了電腦的輔助,所以在空間的分析上較為準確,的確是可以比傳統矯正減少一些拔牙的機率.但並不是只要隱形矯正就不用拔牙的,今天就來介紹三種創造空間的方法.
大臼齒遠移(Molar distalization):將最後一顆大臼齒向後推移,可以創造出矯正的空間,但前提是智齒需要拔除,通常這個方法隱形矯正會比傳統矯正來的有效率.
茉莉牙醫 發表在 痞客邦 留言(0) 人氣(137)

也許你在FB或網路上會看到標榜著不磨牙/不打麻藥/完全無痛/一天就可以永久美白牙齒的齒雕廣告,廣告內容和價格通常很令人心動,但施作者一般都不是牙醫師而是醫美診所甚至美甲/婕師.到底這些韓國水晶牙雕,美白齒雕與牙醫診所的陶瓷貼片有什麼不同呢?其實美白齒雕就是樹脂貼片,用的材料是一般補牙常用的奈米樹脂,藉著在牙齒上蓋上一層白色的樹脂,達到牙齒變白的效果,這樣的方法與技術在國外已經行之有年.良好的樹脂貼片可以呈現很美觀的效果,但如果操作者不是牙醫師,通常結果都是負面的.
為什麼不建議在醫美診所接受這樣的療程?醫美診所的醫師或美甲師,並沒有受過正規的牙醫師訓練,所以通常作出來的成品非常粗糙,複合樹脂是一種非常難以操作的材料,只要過程有問題,不到幾個月樹脂便會染色脫落,甚至於導致牙齦發炎或牙周病.
茉莉牙醫 發表在 痞客邦 留言(0) 人氣(2,070)
Yuchi 原本有牙齒排列不整齊與齒色偏黃的問題 茉莉牙醫 發表在 痞客邦 留言(0) 人氣(691)
茉莉牙醫 發表在 痞客邦 留言(1) 人氣(3,757)
門牙重覆的蛀牙與大範圍的樹脂填補,時間久了顯得很不美觀移除掉舊的補牙,把蛀牙大略移除,左上大門牙已經因為蛀牙太深而壞死茉莉牙醫 發表在 痞客邦 留言(0) 人氣(2,346)
Fan希望解決大笑時會露牙齦,與齒色泛黃的問題。原本門牙已經做了兩個全瓷冠,牙齦部份有發炎與流血問題。由於牙齒長度較短,為適合用牙冠增長術改善笑齦的類型。 牙冠增長術術後四個月,可以看到門牙的長度與比例變好,等待的時間可以讓牙齦穩定在新的位置,開始製作陶瓷貼片與全瓷冠共12顆,達到永久美白的效果。 前後比較 術後展現自信笑容 陶瓷貼片完成後訪問部分圖片摘自Fan.小帆 更多陶瓷貼片資訊請參考:為笑容上妝,陶瓷貼片的材質、價位、製作方式及案例介紹
如果你覺得文章有幫助,請幫我們按讚打氣吧! 茉莉牙醫 發表在 痞客邦 留言(0) 人氣(1,131)
為什麼要做鼻竇增高術?鼻竇位於上顎小臼齒與大臼齒的上方,是一個空腔,與齒槽骨隔了一層鼻竇黏膜,當牙齒拔除後,齒槽骨的寬度跟高度都會隨著時間而減少,加上鼻竇黏膜向下擴張,使得上顎後牙的植牙區容易有骨頭不夠的情形發生,此時就需評估鼻竇增高術的可行性,利用提升鼻竇黏膜,創造空間補骨來增加植牙區骨頭的高度,同時避免植體在植入時穿破鼻竇黏膜.茉莉牙醫 發表在 痞客邦 留言(0) 人氣(8,852)